Orthodontic Appliances Throughout New England
Extra Help to Keep Teeth Moving the Right Way

Traditional braces and Invisalign are not the only treatments you should consider when it comes to orthodontics, especially as it pertains to children. Our orthodontists provide many different services, all of which have their own unique goals for managing your dental issues. If you aren’t sure if you or your child needs one to resolve an orthodontic problem, please don’t hesitate to give our office a call today to learn more about our orthodontic appliances throughout New England!
Does My Child Need an Orthodontic Appliance?

Depending on the type of developmental concern your child is facing, they might need an orthodontic appliance. Because every smile is different and has various needs, we provide several options for treatment to customize each smile.
Retainers

A retainer is crucial to wear after traditional braces come off. Retainers ensure that teeth stay in their new positions and don’t drift back, also known as a relapse. A fixed or removable retainer can protect your investment in the results.
Space Maintainer

Even while your child still has baby teeth, we can usually see whether they will experience significant orthodontic issues. Space maintainers, which can be removable or fixed inside the mouth, keep enough room for permanent teeth that still need to erupt, reducing the amount of time your child might need braces down the road.
Herbst Appliance

If your child has an overbite, this appliance can create better bite alignment. It moves the lower jaw forward and the upper molars backward, which means it is typically utilized on younger patients, as their jawbones continue to develop.
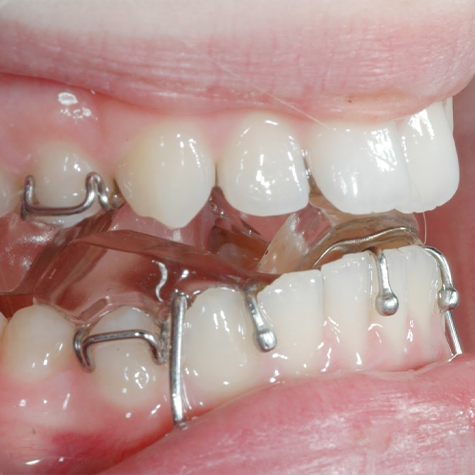
Twin Block Appliance

This treatment actually has two appliances, one for the upper teeth and one for the lower. When your child bites, the appliances fit together like a puzzle. Over time, they retrain jaw muscles to position the lower jaw forward. These appliances are removable for easy cleaning, but they should be worn full-time.
Palatal Expander

Before your child has reached skeletal maturity, it is relatively easy to correct problems with their oral development. If their palate is currently too small or narrow, it will not be able to hold all their teeth without crowding. A palatal expander presses on both sides of the arch to create additional width.
Spacers or Separators

Several orthodontic appliances have metal bands that attach to a tooth and surround it, namely molars. In most cases, we need to create just a tiny bit of room by inserting small rubber donuts, called spacers or separators, in between the molars.
Carriere Appliance

Realigning front teeth is simple, but changes to the alignment of molars used to be more difficult than it is nowadays. In the past, it required bulky headgear. Now, the Carriere appliance enables us to correct and preserve back teeth, even if they’ve erupted incorrectly.
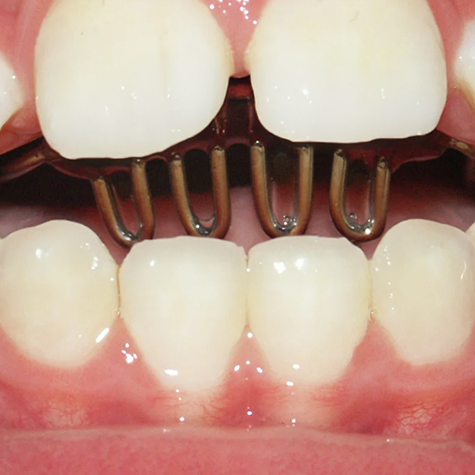
Tongue Crib

Although we encourage deterring thumb or finger sucking with other methods, a tongue crib makes it difficult for your child to continue this bad habit. This metal grate attaches to the roof of the mouth near the front, preventing any attempt to suck. It also trains their tongue to rest on the floor of their mouth, helping their oral development in the long term.
Bionator

A bionator affects the growth of the jawbone, which means that it can only be used for a limited time on young children. Basically, this appliance encourages lower jaw growth to treat an overbite and can also widen the upper palate.
Bite Plate

Typically, we use a bite plate at the beginning of treatment when the upper teeth overlap the lower ones. This appliance prevents the back teeth from touching each other, meaning that the front ones must be utilized for chewing.